TBC 의학용어 자세한 소개
TBC와 TB라는 용어를 언젠가는 들어봤을 것입니다. 그런데 이 용어들이 정확히 무엇을 의미하는지, 그리고 왜 중요한지 이해하고 계십니까? 이 글에서는 이러한 의문을 해결해드릴 것입니다.
가장 먼저 결핵이라는 병으로 시작합니다. 그것은 고대의 시대부터 인류를 괴롭혀왔던 병으로, 'TB' 또는 'TBC'라는 이름으로도 알려져 있습니다. 이 글을 통해 결핵의 정의와 증상, 그리고 이 병을 진단하고 치료하는 방법에 대해 알아보겠습니다.
또한, 이야기는 로베르트 코흐라는 사람에게로 이어집니다. 그는 결핵균을 발견한 사람으로, 그의 발견은 결핵의 진단과 치료에 큰 변화를 가져왔습니다. 결핵 진단 방법 중 하나인 'AFB stain'과 'TB-PCR', 그리고 'AFB culture'에 대한 설명도 준비되어 있습니다.
그리고 끝으로, 여러분의 건강을 지킬 수 있도록 결핵의 예방법에 대해서도 알려드리겠습니다. 이 모든 것들이 여러분의 건강에 도움이 되기를 바랍니다. 그럼 시작해볼까요?

의학 용어의 의미는 무엇일까요?
"TB"와 "TBC"는 결핵을 지칭하는 의학 용어입니다. "TB"는 튜버클로서스(Tuberculosis)의 약자로 결핵을 의미하며, "TBC"는 이 Latin term을 연장한 튜버클로시스(Tuberculosis)의 약자입니다. 이 두 용어는 일반적으로 의학 커뮤니티에서 자주 사용되며, 간혹 일반 대중에게도 사용됩니다.
결핵이란 무엇인가요?
결핵은 Mycobacterium tuberculosis라는 결핵균에 의해 발병하는 전염성 질환입니다. 이 병은 주로 폐에 영향을 미치지만, 때때로 다른 기관에도 영향을 미칠 수 있습니다. 결핵은 전세계적으로 매우 흔한 질병으로, 세계보건기구(WHO)에 따르면 전 세계 인구의 약 3분의 1이 이 병의 침묵성 감염자라고 합니다.
결핵의 주요 증상은 무엇인가요?
결핵의 증상은 감염된 부위와 감염의 정도에 따라 다르지만, 일반적인 증상으로는 기침, 체중 감소, 피로, 발열, 밤에 땀을 많이 흘리는 것 등이 있습니다. 폐에 감염된 경우, 기침을 하면서 가래나 혈관을 동반하는 경우가 있습니다. 결핵의 증상은 주로 천천히 발전하는 편이며, 때로는 주의를 끌 수 있는 증상이 없을 수도 있습니다.
로베르트 코흐와 결핵균
결핵을 발병시키는 결핵균을 발견한 사람은 19세기 독일의 의학자 로베르트 코흐입니다. 1882년, 코흐는 특이한 세균이 결핵을 유발하는 것을 밝혀냈습니다. 이를 통해 결핵은 단순한 환경적 요인이나 '나약한 체질'이 아닌 특정한 세균에 의해 발병한다는 것이 입증되었습니다. 이 세균은 그를 기리기 위해 Mycobacterium tuberculosis라고 명명되었습니다.
결핵 진단 AFB Stain, TB-PCR, AFB Culture
결핵의 진단에는 여러 방법이 사용됩니다. 가장 일반적인 방법 중 하나는 가래나 기타 체액에서 AFB(산성 알코올 페니신) 염색을 사용하는 것입니다. 이 방법은 결핵균이 산성 알코올에서 불변하는 독특한 성질을 이용합니다. 그러나 이 방법은 양성 결과를 도출하기까지 시간이 걸리고, 가끔 음성 결과를 가져올 수도 있습니다. 더 빠른 결과를 얻기 위해 TB-PCR이라는 방법을 사용하기도 합니다.
이는 결핵균의 유전자를 탐지하는 방법으로, 감염이 있을 경우 몇 시간 이내에 결과를 얻을 수 있습니다. 그러나 이 방법도 모든 경우에 완벽하게 작동하지는 않습니다.
이외에도 AFB culture라는 방법을 사용하여 결핵균을 직접 배양할 수 있습니다. 이 방법은 가장 확실한 결과를 제공하지만, 결과를 얻기까지 몇 주가 걸릴 수 있습니다.
결핵의 치료법 항결핵제
결핵의 치료는 주로 항결핵제를 사용하는 것입니다. 일반적인 치료 방안은 여러 가지 항결핵제를 복합적으로 사용하는 것이며, 이를 통해 다양한 결핵균에 대응하고 항생제 내성을 예방할 수 있습니다. 일반적으로 치료는 6개월 동안 이루어지며, 환자는 처음 2개월 동안은 4가지 항결핵제를 복용하고, 그 후 4개월 동안은 2가지 항결핵제를 복용합니다. 이러한 치료법은 꾸준히 약을 복용하면 거의 모든 환자가 치료될 수 있게 합니다.
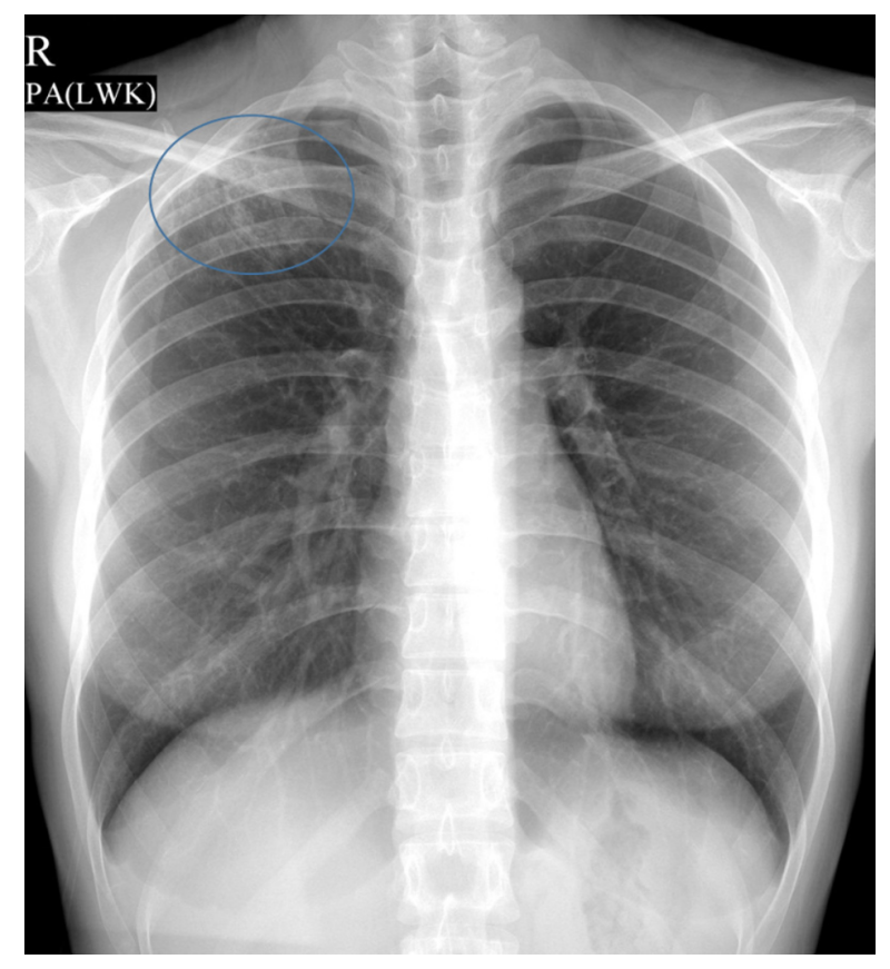
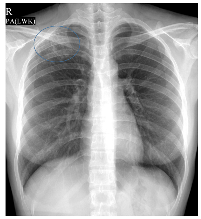
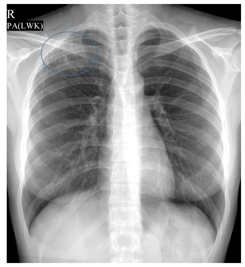
결핵과 폐 사진을 통한 이해
결핵은 주로 폐에 영향을 미치는 병이며, X-ray나 CT를 통해 결핵에 의한 변화를 확인할 수 있습니다. 초기에는 작은 점 같은 병변들이 있을 수 있으며, 진행된 경우에는 폐의 일부가 충혈되거나 손상될 수 있습니다. 이런 이미지는 결핵의 진단과 치료에 매우 중요한 역할을 합니다.

결핵 예방 어떻게 결핵을 피할 수 있을까요?
결핵은 감염된 사람이 기침이나 재채기를 할 때 공기 중에 배출되는 결핵균을 통해 전염됩니다. 그렇기 때문에 가장 효과적인 예방 방법은 결핵 환자와의 접촉을 피하는 것입니다. 결핵 환자가 치료를 받는 동안에는 접촉을 최소화하고, 환자는 마스크를 착용하여 기침이나 재채기를 통한 감염 확산을 막는 것이 좋습니다.
그 외에도 BCG 백신이 결핵을 예방하는 데 도움을 줄 수 있습니다. 이 백신은 주로 결핵이 흔한 국가에서 어린이에게 주로 사용되며, 특히 결핵성 수막염과 같은 심각한 형태의 결핵을 예방하는 데 효과적입니다. 그러나 이 백신은 모든 형태의 결핵에 대해 동일하게 효과적인 것은 아니며, 그 효능과 지속 시간에 대해서는 여전히 논란이 있습니다. 이와 같은 이유로, 미국과 같이 결핵 발병률이 낮은 국가에서는 BCG 백신을 일반적으로 사용하지 않습니다.
결핵의 이해와 관리
결핵은 전 세계적으로 여전히 주요한 공공건강 문제로 남아 있습니다. 하지만 이 병을 이해하고, 증상을 인식하며, 적절한 진단을 받고, 효과적인 치료법을 이용하면, 대부분의 결핵 환자는 완치될 수 있습니다. 그럼에도 불구하고, 불균형적인 건강 자원과 접근성, 그리고 결핵균의 항생제 저항성 증가와 같은 문제들로 인해 결핵 관리는 복잡한 과제로 남아 있습니다.
이에 따라 개개인은 자신의 건강을 위해 결핵에 대한 지식을 습득하는 것이 중요하며, 의학 전문가들과 공중보건 담당자들은 이러한 정보를 쉽게 이해하고 접근할 수 있도록 전달하는 책임을 가지고 있습니다. 우리 모두가 결핵의 이해와 관리에 참여함으로써, 이 병을 극복하는 데 한 발짝 더 다가갈 수 있을 것입니다.
'건강' 카테고리의 다른 글
| 신한생명 무료운세 2023년 버전 자세히 안내드려요 (0) | 2023.06.27 |
|---|---|
| 건강 비타민 블로그 시작합니다. (0) | 2023.06.23 |
| 구내염 빨리 낫는 법 어렵지 않은 방법 모음 (0) | 2023.06.20 |
| 태권도 띠 순서, 색깔 그리고 그 의미, 초보 부모를 위한 가이드 (0) | 2023.06.19 |
| 급똥 지압법으로 최악은 면할 수 있다. 늘려보자 참는시간 (0) | 2023.06.18 |